Have a perfect smile!

Dental Veneers in Tijuana

|
Dental Veneers in Tijuana
Subtle and effective

Having beautiful, white, cosmetic teeth is very important for oral health, self-esteem and overall appearance, especially if we are talking about upper and lower front teeth. People whose teeth are stained, mottled, cracked or crooked can develop the habit of hiding their denture, covering their mouth with their hand as they speak, learn how to smile without showing their teeth or even drop into depression.

These teeth abnormalities can derive from different reasons. Crooked or misaligned teeth can be birth defects; often stained or mottled teeth are caused due to high amount of fluoride exposure or medication intake. Cracked or broken teeth can be from sport mishaps, car accidents or a systemic health problem such as low amount of calcium.

In the past these types of problems could only be corrected with full crowns or orthodontic treatment. But now we have the advantage of doing dental Veneers or Lumineers.

A Veneer is a thin non metal porcelain jacket that covers the bucal portion of your front teeth, uppers and lowers, with very minimal tooth shaving or preparation. The bucal portion is the front surface that we are able to see when we smile. If a full crown covers all 5 surfaces of your tooth and it involves a lot of tooth cut down preparation, the Veneer covers only 3 surfaces, therefore is less invasive and the tooth shave is more superficial. Veneers can correct misaligned, crooked and stained teeth, open gaps or small non esthetic teeth; decay or stained teeth.

The Veneer is commonly done on 6 front teeth, from the canine tooth to the other canine; sometimes they can also be placed on the first bicuspide, making 8 teeth per arch and it depends on how many teeth the patient shows when he smiles. Making upper and lower Veneers is often referred to as a ‘smile make over’.

The only difference between a Veneer and a Lumineer is that the latter involves minimal to non tooth cut down. In other words, often the Lumineer can be cemented on top of your complete natural tooth without any tooth shaving. In your initial dental consultation we can assess if you are a candidate for either one of these beautiful, non invasive, cosmetic smile makeover.

Dental Veneers

Procedure Overview

Preparation and Placement
Lumineers, prepless Veneers

Conclusions and Personal Comments

Veneers are very good option to improve smiles, correct rotated, stained or crooked teeth. They work very well when the patient wants to change the color of his smile, from canine to canine, uppers and lowers. I recommend to be done 2 by 2, that is the 2 central teeth, or the 2 centrals plus the 2 lateral teeth and so on. It is preferred that in one single appointment all 6 teeth, from canine to canine, are prepared at once. With the lower teeth is the same.

Lumineers are a good option when minimal rotations and malposition exist. They are the same as Veneers but without preparing or shaving off the teeth.

Esthetic treatment, minimal invasive with results in 2 appointments makes Veneers a very good option.

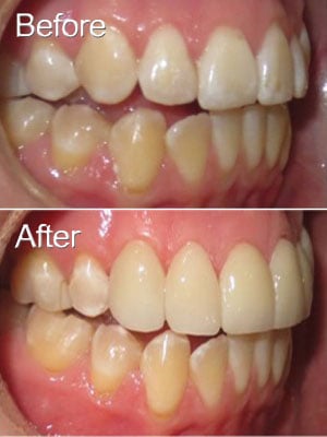
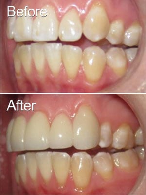
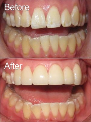
Before and After results

This is a before and after case of Lumineers with no tooth prep